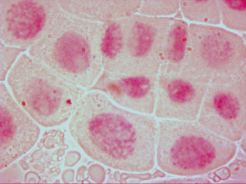
Mitosis 18