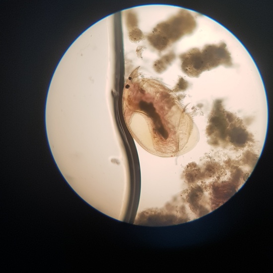
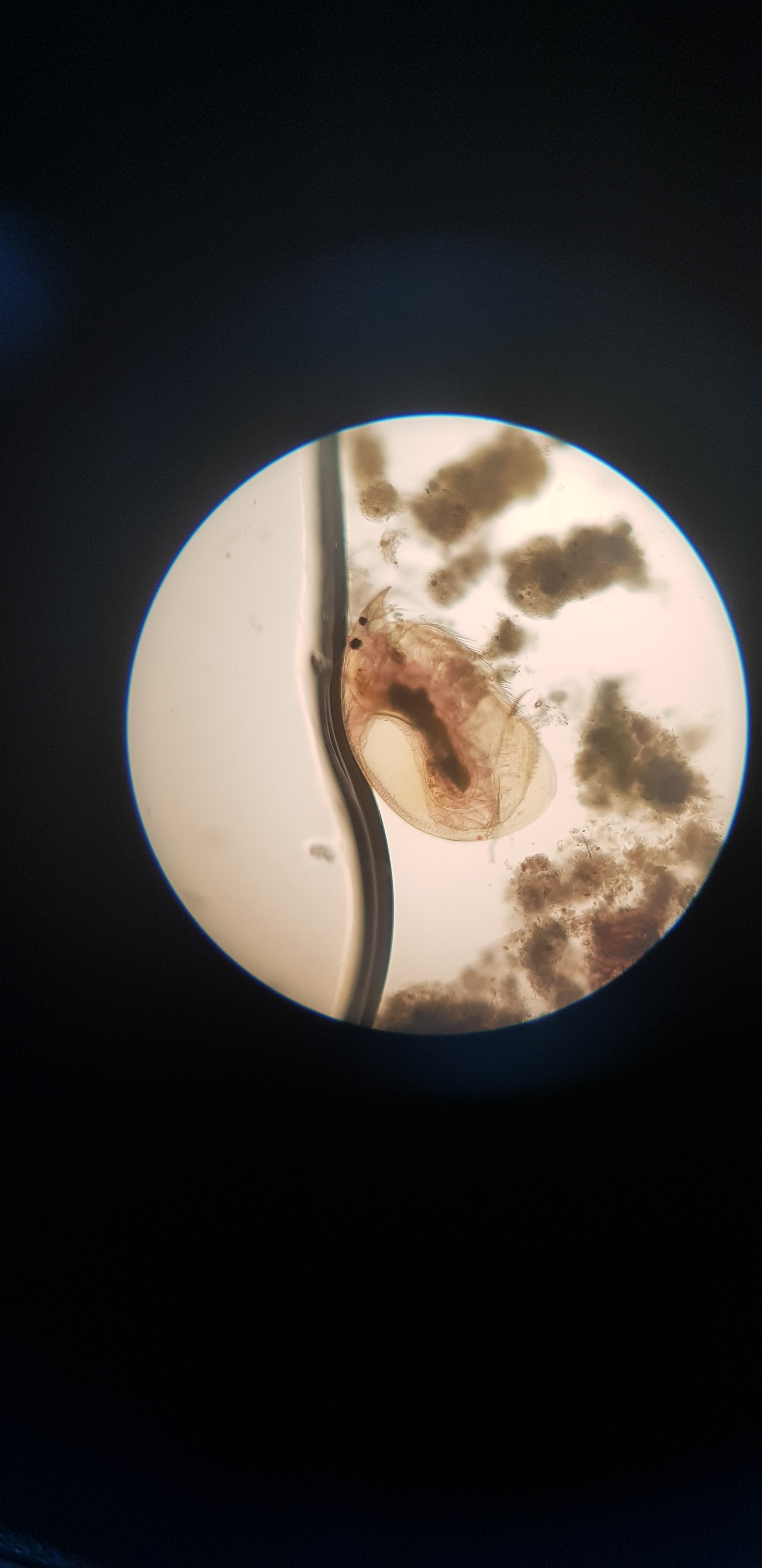
Imágenes de pulga de agua (Daphnia pulex) 1