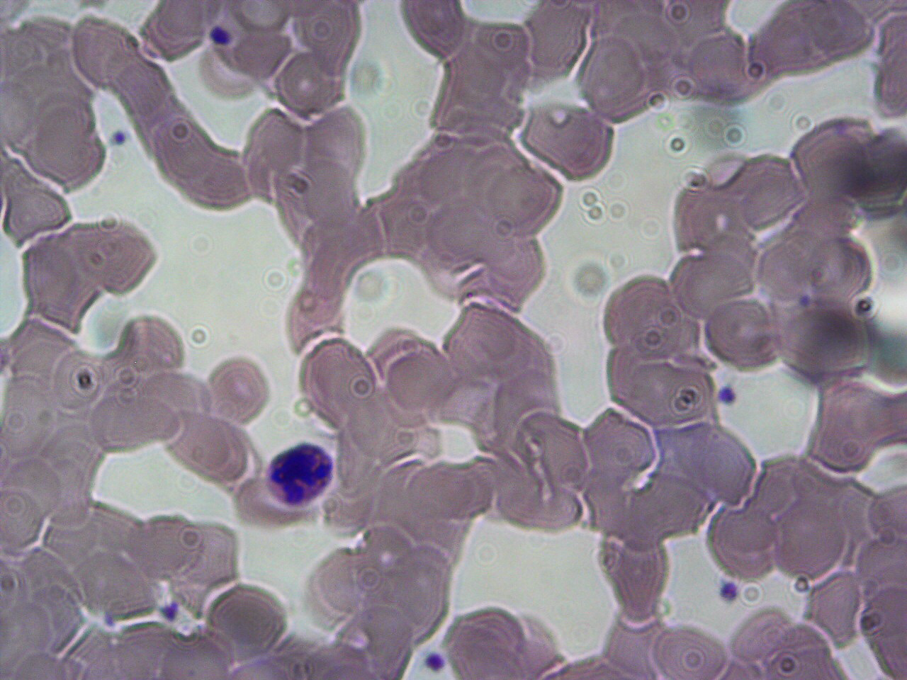
Fotos frotis 2 9