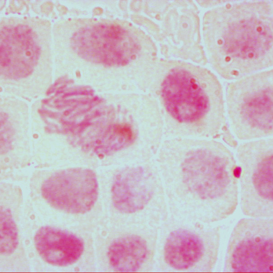
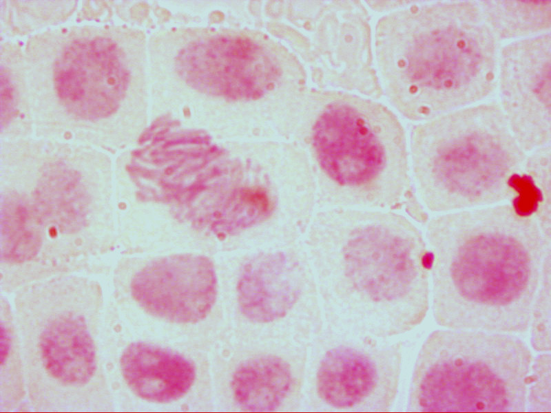
Mitosis 9