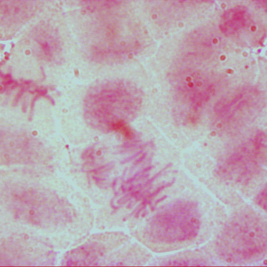
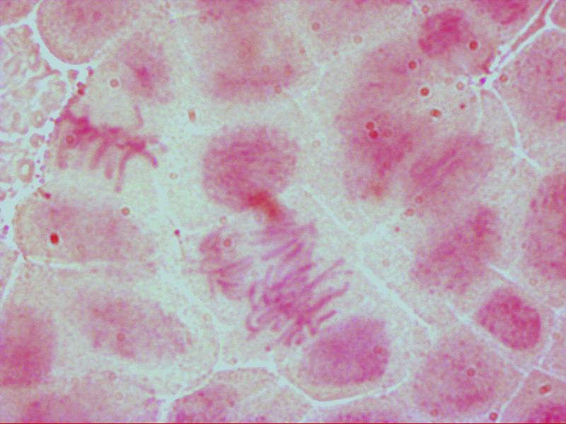
Mitosis 11