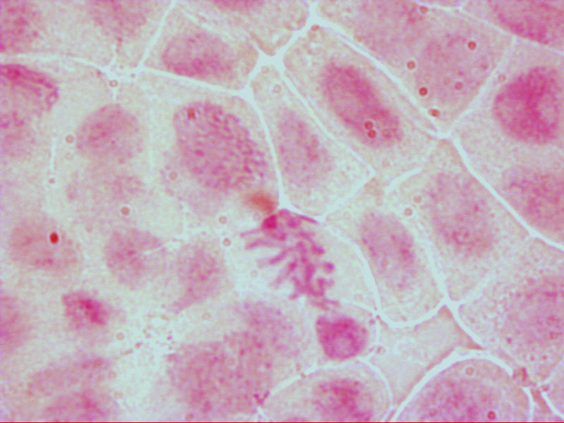
Mitosis 8