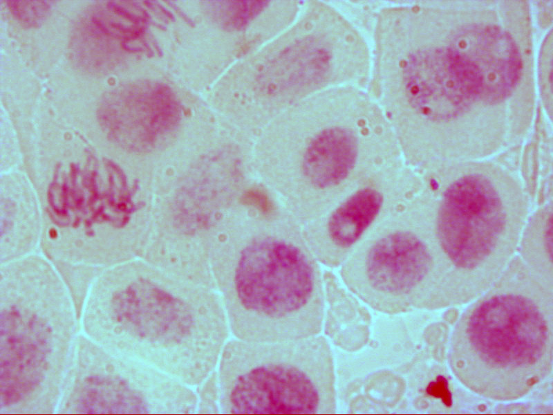
Mitosis 24