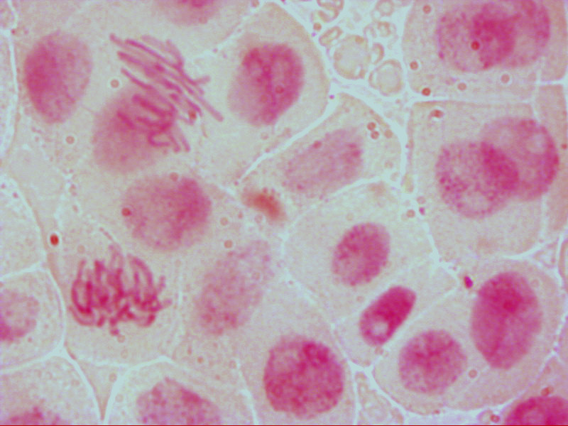
Mitosis 7