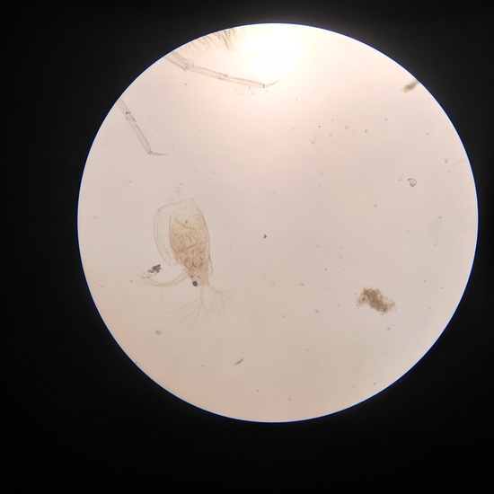
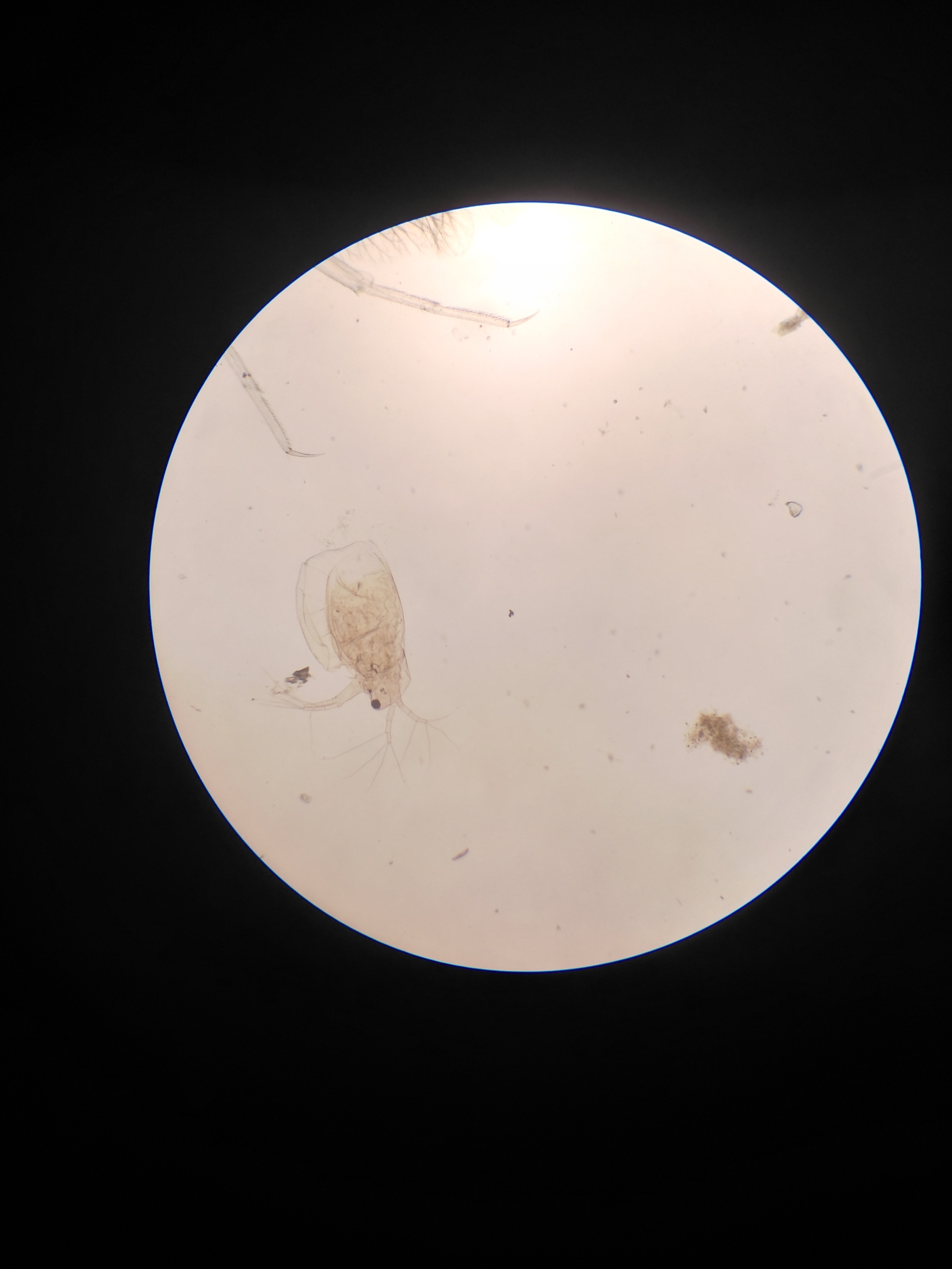
Cladocero_Nazop-L-01-03-IG (nuevas muestras)