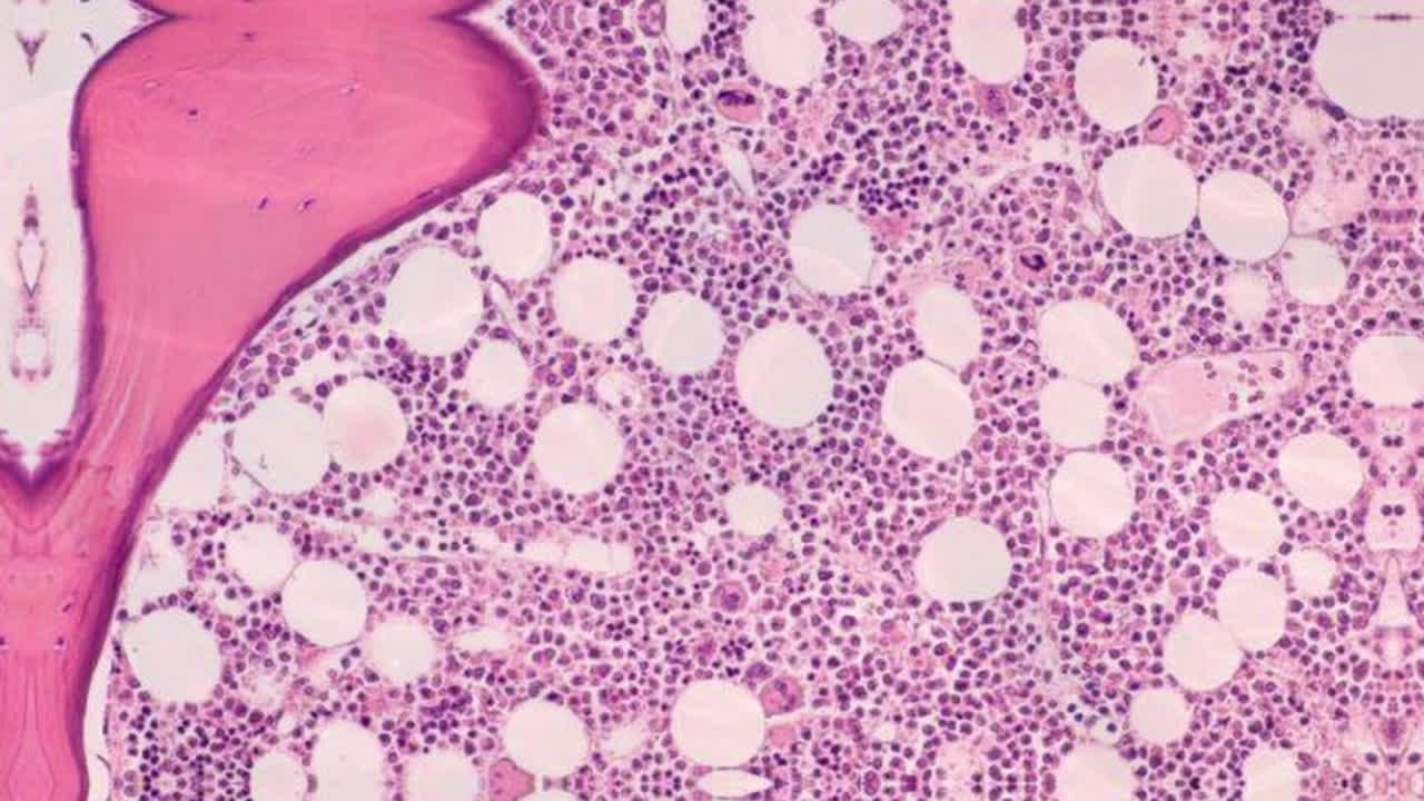
EL TEJIDO HEMATOPOYÉTICO (vídeo enriquecido)

¿De dónde viene la sangre? ¿Acaso la médula ósea es tan importante? Todas las preguntas que puedas hacerte sobre las células sanguíneas y este tejido ya han sido respondidas en este vídeo.

Activa JavaScript para disfrutar de los vídeos de la Mediateca.