Saltar navegación

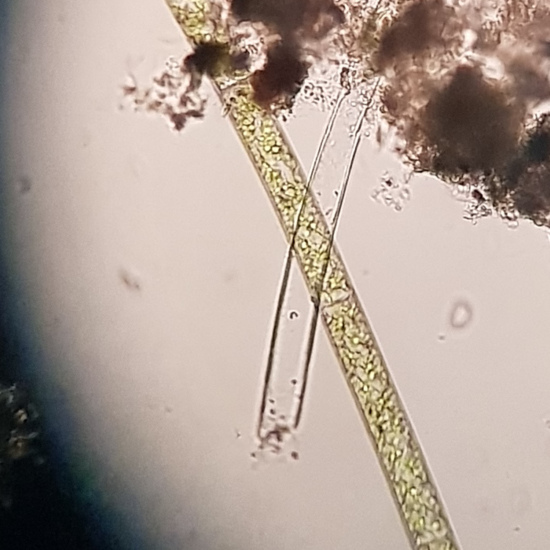
Cerva-R01-01 (Spirogyra)

Cerva-R01-01 (Spirogyra)

Subido el 24 de enero de 2019 por Joel F.

924 visualizaciones

Alga Spirogyra encontrada durante un análisis de una muestra de agua.

Más información

Autor/es:
Joel Fernandez
Subido por:
Joel F.
Moderado por el profesor:
Ismail Ali Gago (ismail.ali)
Licencia:
Reconocimiento - Compartir igual
Visualizaciones:
924
Fecha:
24 de enero de 2019 - 19:11
Visibilidad:
Público
Centro:
IES CERVANTES
Extensión:
jpg
Resolución:
700x1354 píxeles
Tamaño:
350.42 KBytes

Información EXIF

Cámara (marca):
samsung
Cámara (modelo):
SM-N950F
Orientación:
Horizontal (normal)
Resolución Y:
72
Unidades de la resolución:
Puntos por pulgada
Posicionamiento Ycbcr:
Centrado
Fecha:
2018:12:18 10:34:01
Software:
GIMP 2.10.8
Flash:
El flash no se disparó
Exposición:
0.02 segs (1/50)
Número F:
1.7
Programa exposición:
Programa normal
Velocidad ISO:
800
Apertura:
153/100
Distancia focal:
4.3 mm
Compensación exposición:
0/10 EV
Valor max. apertura:
1.53
Modo de métrica:
Promedio Ponderado en el Centro
Espacio de color:
sRGB
Balance de blancos:
Automático
Tipo de escena capturada:
Estándar
Fecha y hora original:
2018:11:14 12:02:03
Fecha y hora digitalizado:
2018:11:14 12:02:03
Ancho:
4032
Alto:
2268
Flashpix version:
0100
Versión EXIF:
0220

Del mismo autor…

Ver más del mismo autor

Comentarios

Para publicar comentarios debes entrar con tu nombre de usuario de EducaMadrid.

Comentarios

Este vídeo todavía no tiene comentarios. Sé el primero en comentar.



EducaMadrid, Plataforma Educativa de la Comunidad de Madrid

Plataforma Educativa EducaMadrid